Calcific tendinopathy is not exclusive to the shoulder — it can affect multiple regions including the wrist, hip, and foot. Learn why calcium deposits form, how they are diagnosed, and why early treatment such as shockwave therapy improves outcomes. Evidence-based guidance from MADI-BONE CLINIC, Seolleung.
Calcific Tendinopathy: Not Just a Shoulder Problem
By MADI-BONE CLINIC | Gangnam (Seolleung Station)
Calcific Tendinopathy Appears in More Places Than You Think
Many people associate calcific tendinopathy with shoulder pain,
but calcium deposits can develop in various areas of the body —
from the plantar fascia in the foot to the wrist tendons.
The exact cause is still unclear, but several risk associations exist:
- recurrent micro-inflammation
- metabolic conditions such as diabetes or gout
- age group typically between 30–50 years
- slightly higher prevalence in men

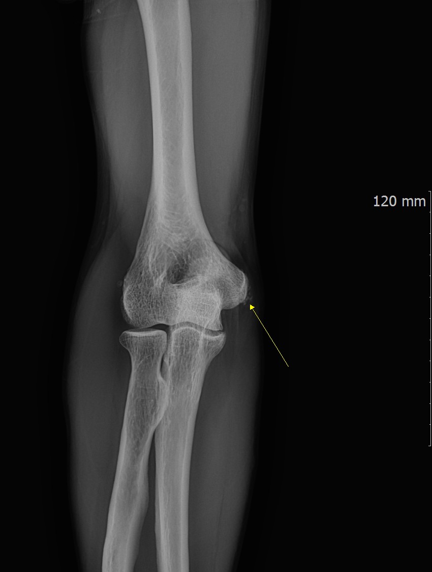
Diagnosis Is Simple — But the Impact Is Not
One advantage of calcific tendinopathy is that diagnosis is usually straightforward.
X-ray imaging can clearly visualize calcium deposits within soft tissue or tendon structures.
However, when calcification is found, treatment should not be delayed.
If ignored, deposits may:
- increase in size
- restrict joint motion
- cause severe or recurring pain episodes
Shockwave Therapy: A Key Treatment Option
One of the most effective non-surgical treatments is
Extracorporeal Shockwave Therapy (ESWT).
Shockwave treatment:
- stimulates calcium resorption
- promotes tendon healing
- improves local blood flow
- reduces pain intensity

Clinical research supports ESWT in reducing pain and improving calcium reabsorption in calcific tendinopathy.
ESWT Effectiveness Study
We Focus on Pain Relief and Function Restoration
At MADI-BONE CLINIC, treatment plans are based on:
- pain intensity
- location and size of calcification
- impact on movement or daily function
The goal is simple:
reduce pain, improve motion, and prevent progression.
Related Posts
Frequently Asked Questions (FAQ)
1. Does calcific tendinopathy always cause pain?
Not always — some cases are asymptomatic, but once painful, symptoms can be intense and recurrent.
2. Can the calcium deposit disappear on its own?
Occasionally, yes. However, spontaneous resolution is unpredictable and may take months or years.
Early treatment reduces pain and prevents enlargement.
3. Is shockwave therapy painful?
There may be some discomfort during treatment, but most patients tolerate it well, and pain decreases as the tendon recovers.
MADI-BONE CLINIC (Seolleung Station, ~3 min on foot)
MADI-BONE CLINIC
3F, 428 Seolleunggu-ro, Gangnam-gu, Seoul
Seolleung Station (Line 2), Exit 1 — ~3 minutes on foot
02-736-2626
⏰ Mon–Fri 09:30–18:30 / Sat 09:30–13:00 (Closed Sundays & Public Holidays)


