Winter slips often cause hidden fractures that are missed early. Learn why detection is delayed and how clinics identify them.
Why “Hidden Fractures” Appear Late After Winter Falls
By MADI-BONE CLINIC — Gangnam (Seolleung Station)
Winter Slips Cause More Injuries Than You Think
Every winter, patients visit our clinic saying,
“I thought the pain would go away, but it didn’t.”
Winter conditions — frozen ground, hidden ice and limited visibility — create the perfect environment for unexpected falls.
While bruises and sprains are common, what many people don’t realize is that some fractures are initially invisible.
These are referred to as “occult fractures” — hidden fractures.
What Is a Hidden or “Occult” Fracture?
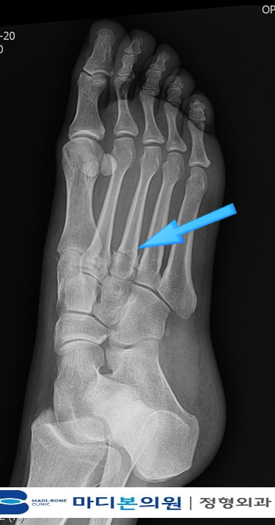
A hidden fracture is a break in the bone that is not clearly visible on initial X-ray imaging,
yet causes persistent symptoms.
These often become detectable days or weeks later.
Common sites include:
- wrist (especially distal radius and TFCC-related regions)
- ankle bones
- elbow
- hip/pelvis

Occult fractures are often initially radiographically undetectable.
Occult Fracture Detection Study
Why Winter Falls Lead to Hidden Fractures
Unlike forceful traumatic accidents,
winter slips produce rotational and compressive forces through narrow contact points.
This mechanism often:
- creates hairline cracks rather than displaced fractures
- damages tendon or ligament support structures simultaneously
- produces swelling that masks underlying bone pain
As swelling subsides over days, the fracture becomes more apparent — which is why patients often say,
“It didn’t hurt much at first — but now it’s worse.”
Why Hidden Fractures Are Missed on Initial X-ray
X-rays detect fractures when:
- bone lines are displaced
- angles change
- clear gaps exist
But tiny cortical disruptions — especially in wrists, hips and feet —
are extremely subtle and sometimes radiographically invisible until bone remodeling begins.
For this reason, early CT or MRI are sometimes required if suspicion is high.
Clinical Clues That a Fracture Is “Hidden”
Patients often say:
“X-ray was normal, but I still can’t walk on it.”
We suspect hidden fracture when:
- pain persists beyond 1–2 weeks
- load-bearing is difficult
- localized tenderness remains intense
- pain worsens instead of improving
How We Detect Hidden Fractures at MADI-BONE CLINIC
Evaluation typically includes:
- mechanism analysis — “how did you fall?”
- palpation for pinpoint tenderness
- repeat X-ray if symptoms persist
- advanced imaging (MRI or CT) when clinically indicated
CT and MRI significantly increase diagnostic accuracy for occult fractures.
Advanced Imaging Study
How Hidden Fractures Are Treated
If detected early, hidden fractures respond very well to:
- immobilization
- activity modification
- shockwave therapy once acute phase passes
- exercise therapy for stabilization
Missed fractures, however, may lead to:
- malalignment
- early arthritis
- chronic instability
Early detection truly matters.
Patient Story — “I Thought It Was Just A Sprain”
Many winter fall patients dismiss pain as a sprain.
However, worsening pain during:
- driving
- putting weight on furniture
- walking down stairs
often reveals the hidden injury beneath.
Internal Links — Related Education
- Winter Falls: What Hurts Most and Why
- Why TFCC Injuries Rise in Winter
- When Shockwave Therapy Works Best
Frequently Asked Questions (FAQ)
1. If my first X-ray was normal, should I still worry?
Yes — persistent pain, swelling or weakness warrants re-evaluation.
2. How long does a hidden fracture take to show?
Some become radiographically evident after 2–4 weeks as healing response forms.
3. When should I seek advanced imaging?
If pain limits daily function or persists beyond 1–2 weeks, CT or MRI is recommended.
MADI-BONE CLINIC — Seolleung Station
MADI-BONE CLINIC
3F, 428 Seolleung-ro, Gangnam-gu, Seoul
Seolleung Station Exit 1 — 3 minutes on foot
02-736-2626
⏰ Mon–Fri 09:30–18:30 / Sat 09:30–13:00


